Zum Patientenportal
Bild vergrössern
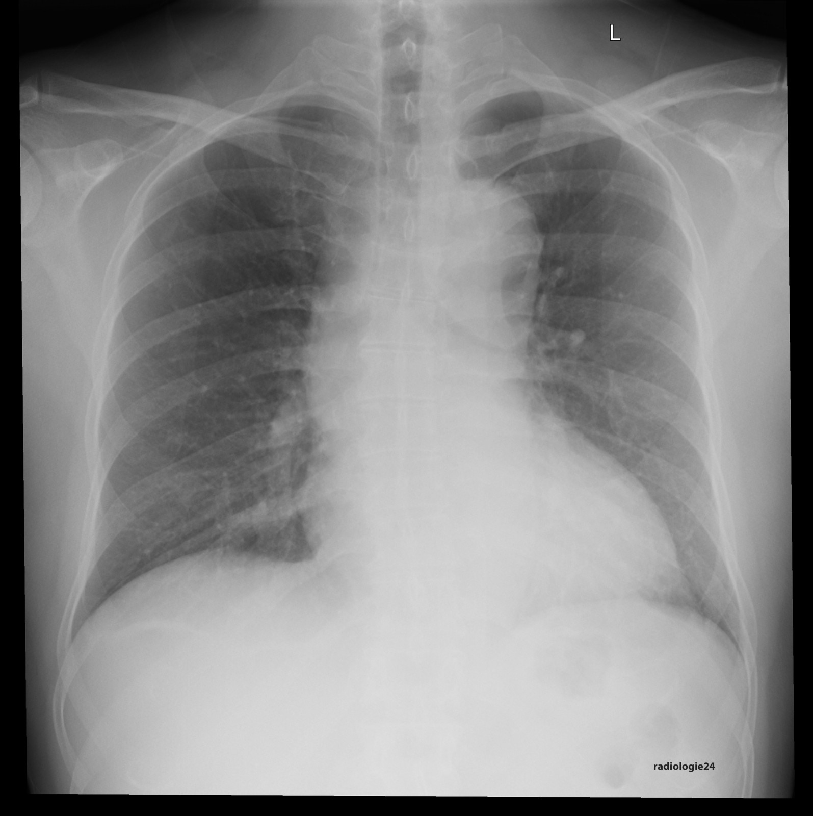
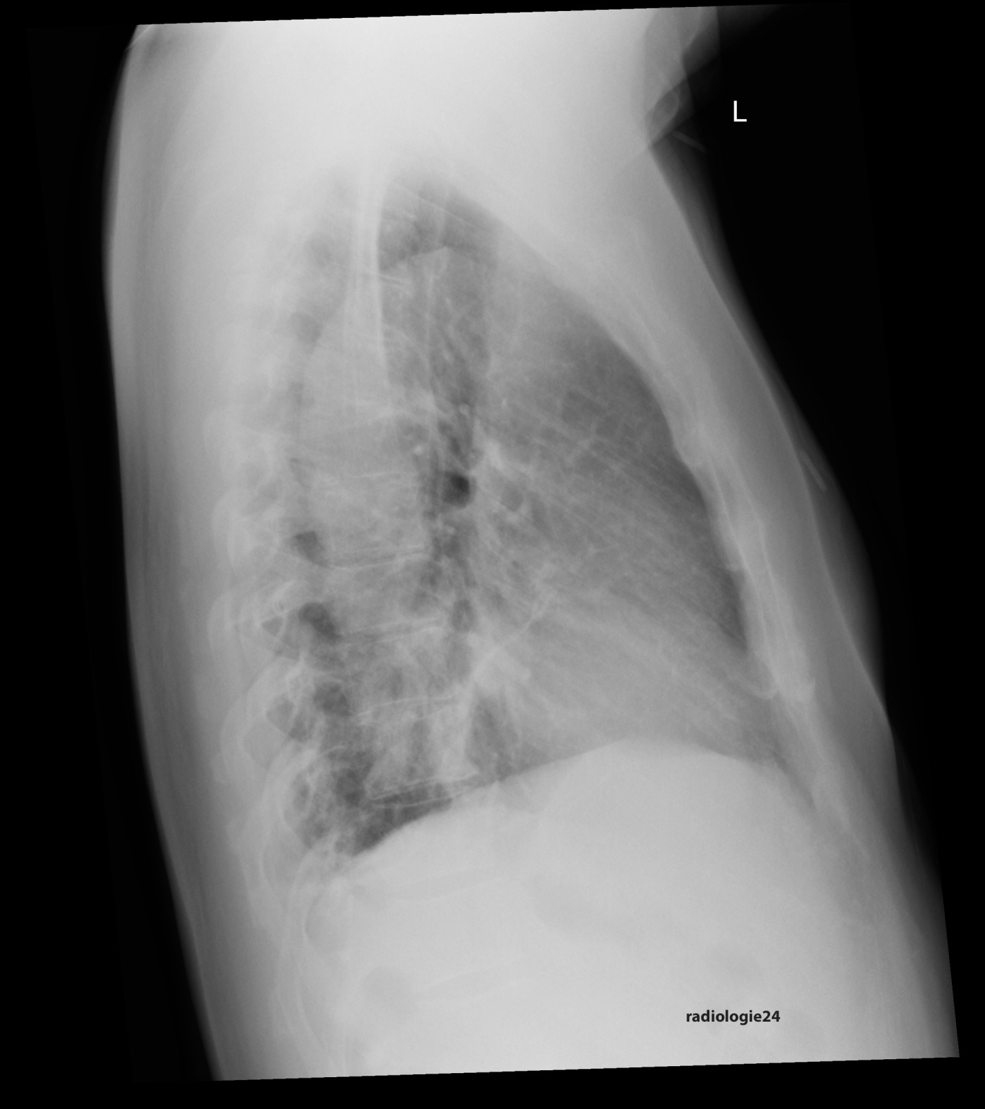
Link zur Auflösung mit ausführlichem Befund
https://www.radiologie24.ch/radiologie-mediathek/roentgenfall_des_monats