Tellmed richtet sich ausschliesslich an Mitglieder medizinischer und pharmazeutischer Berufe. Für Patienten und die Öffentlichkeit steht das Gesundheitsportal www.sprechzimmer.ch zur Verfügung.
Rect Top
Anzeige
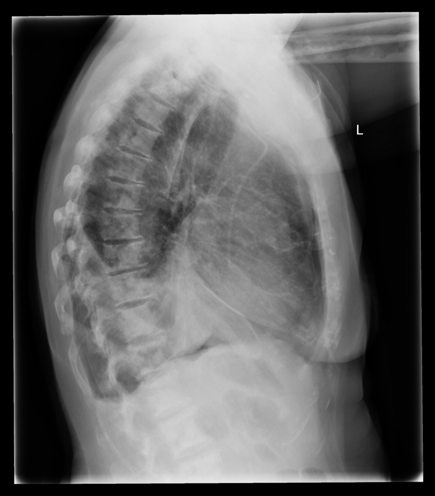
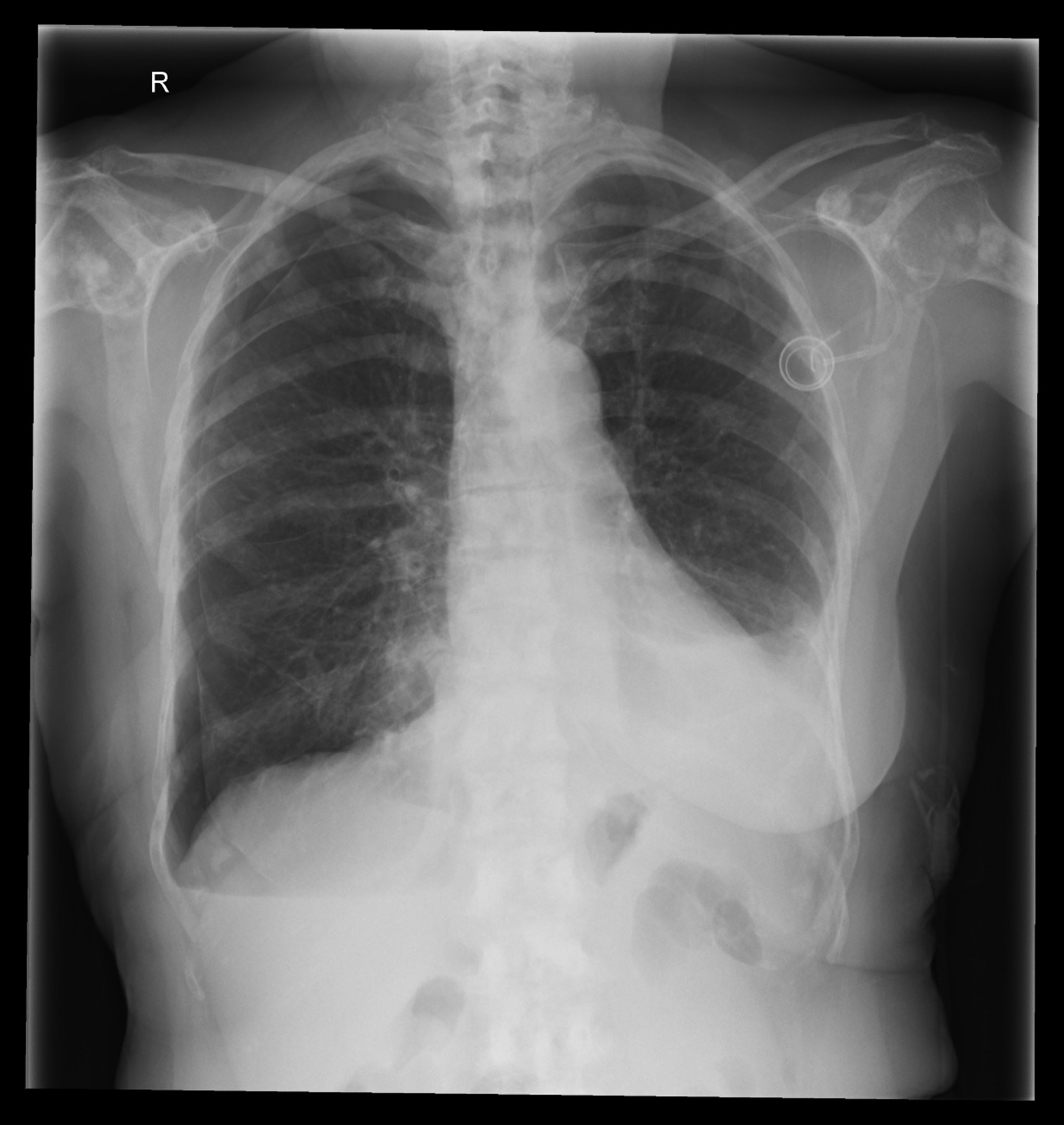
Röntgenfall des Monats Mai 2017 mit Auflösung
74 jährige Patientin mit diffusen Skelettschmerzen und akut aufgetretener Dyspnoe.
Z.n. Mammakarzinom rechts.