Tellmed richtet sich ausschliesslich an Mitglieder medizinischer und pharmazeutischer Berufe. Für Patienten und die Öffentlichkeit steht das Gesundheitsportal www.sprechzimmer.ch zur Verfügung.
Rect Top
Anzeige
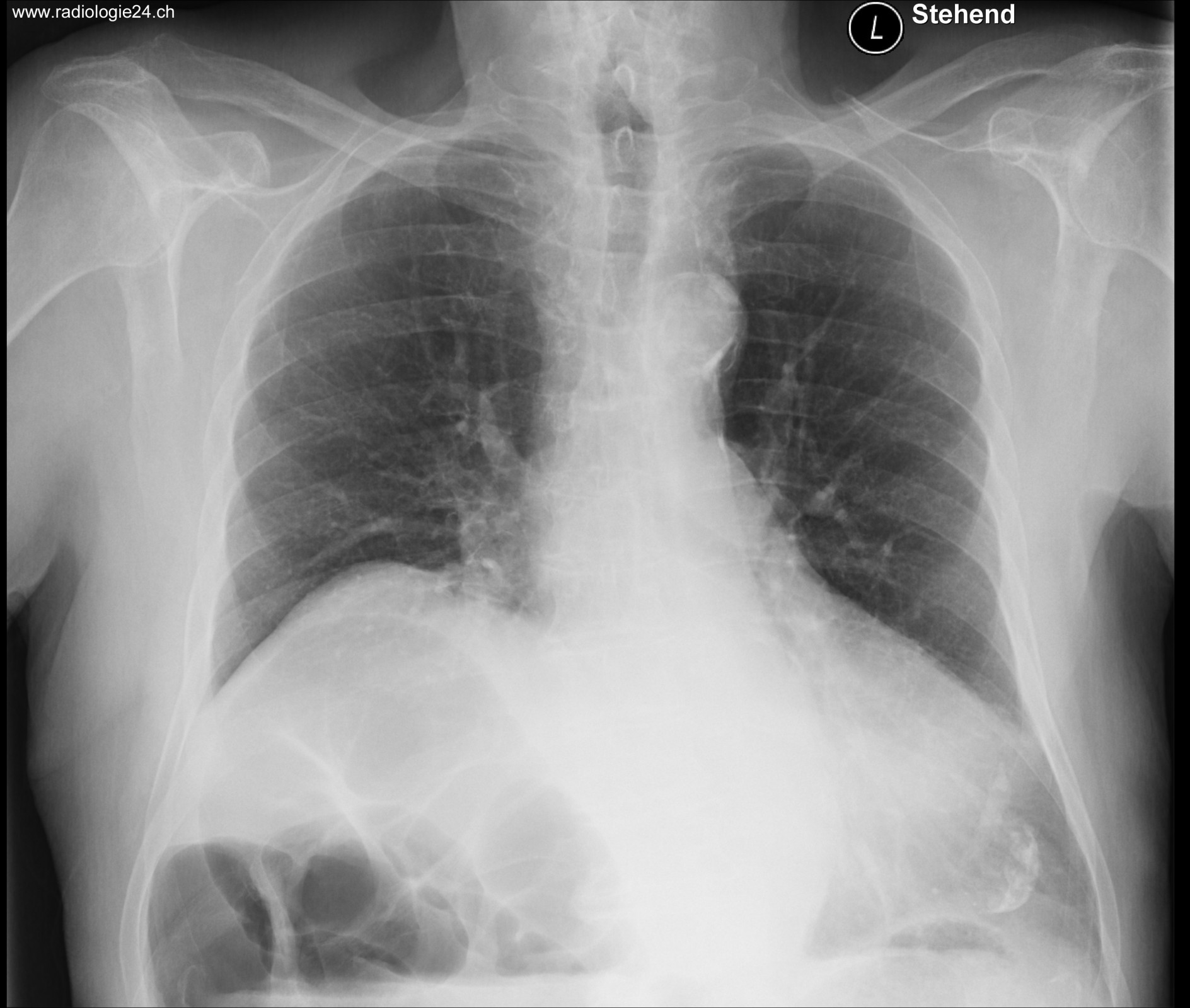
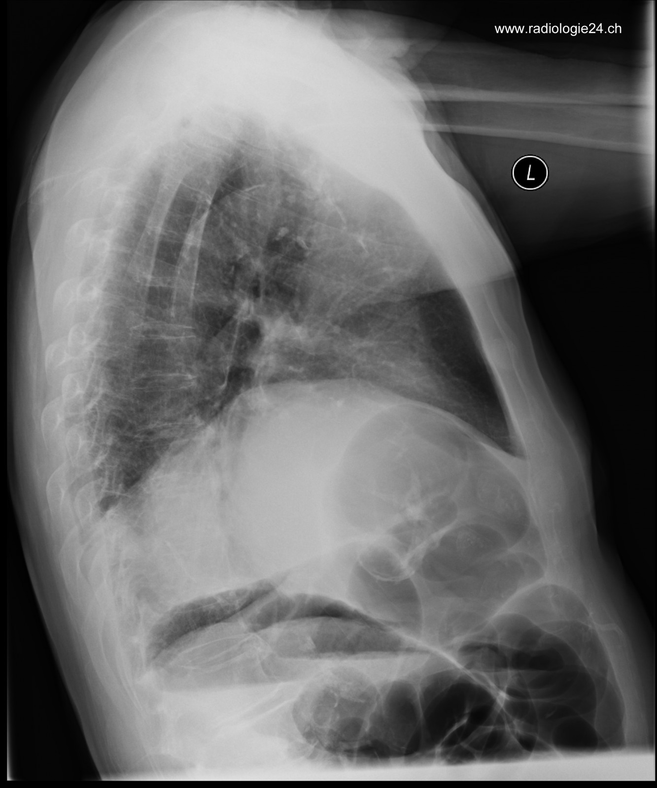
Röntgenfall des Monats Juli 2017 mit Auflösung
78 jähriger Patient mit zunehmender Dyspnoe und Thoraxschmerzen