Tellmed richtet sich ausschliesslich an Mitglieder medizinischer und pharmazeutischer Berufe. Für Patienten und die Öffentlichkeit steht das Gesundheitsportal www.sprechzimmer.ch zur Verfügung.
Rect Top
Anzeige
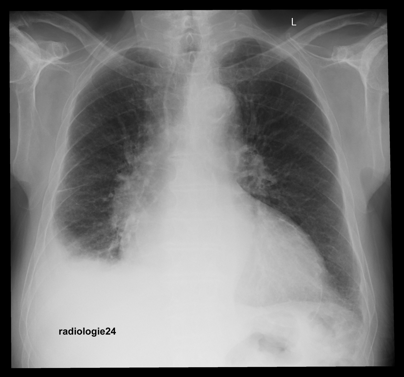
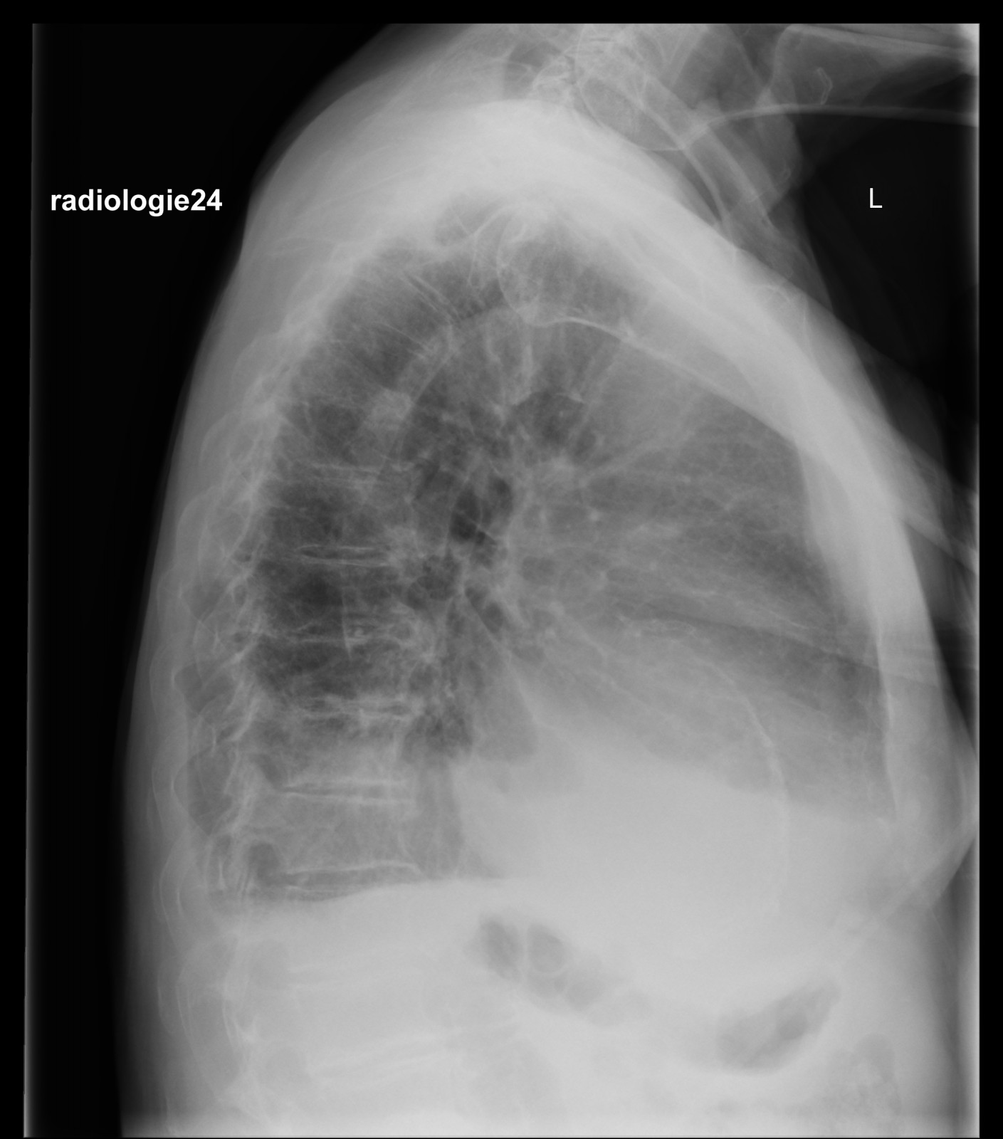
Röntgenfall des Monats Februar 2018 mit Auflösung
75 jähriger Patient
Zunehmende Belastungsdyspnoe.
Ihre Diagnose? Nebenbefunde?