Röntgenfall des Monats August 2018 mit Auflösung
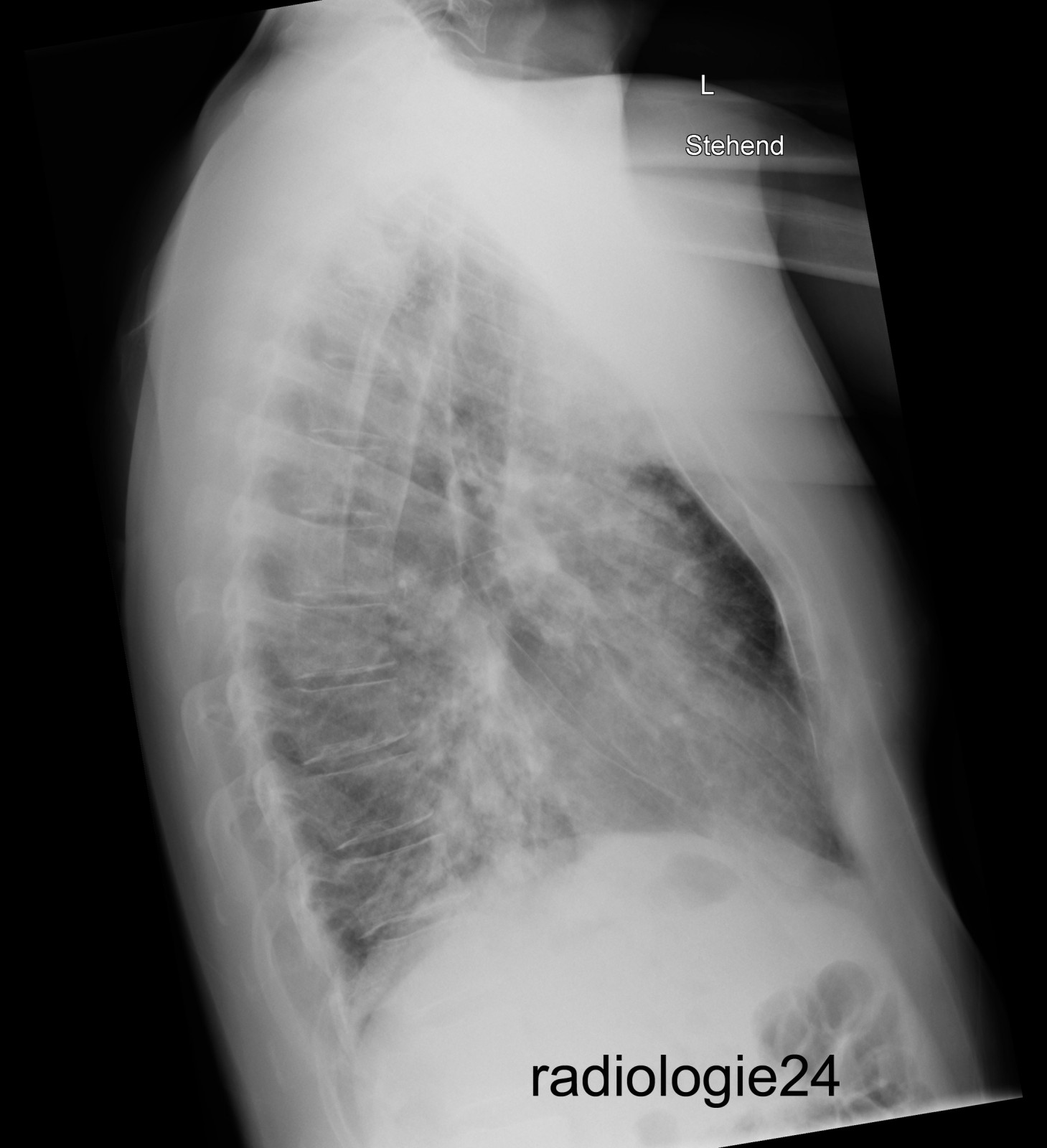
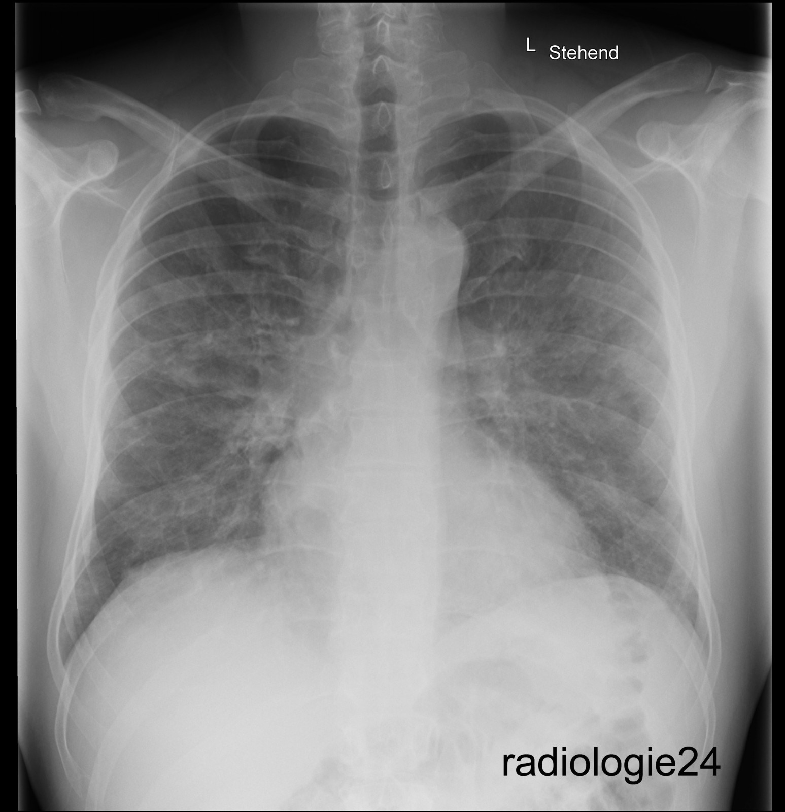
40 jähriger Patient
Triathlon Sportler.
Bei einem Wettkampf muss der Patient wegen akut auftretender Dyspnoe nach dem Schwimmen, die Disziplin des Fahrradfahrens abbrechen und kann den Triathlon nicht beenden.
Einlieferung in die Notaufnahme des nächstliegenden Spital.
Ihre Diagnose?
Weitere radiologische Diagnostik notwendig?
Radiologie24
03.09.2018 - fgr