Radiologie Quiz 50
Ein 13-jähriges Mädchen kommt humpelnd zu Ihnen in die Praxis mit Schmerzen in der rechten Hüfte, die seit einigen Monaten bestehen und besonders bei Belastungen auftreten. Eine sichtbare Schwellung besteht nicht, kein Sturzgeschehen in der Anamnese.
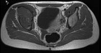
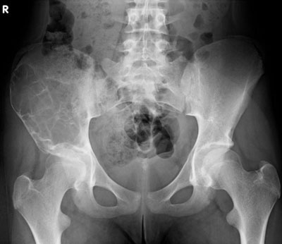
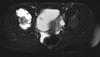
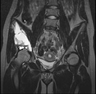
Die Röntgenuntersuchung von Becken/Hüfte zeigt eine septierte geographische Osteolyse in der Ala und im Korpus des Os Iliums rechts. Das Röntgenbild und die Aufnahmen der nachfolgenden MRI-Untersuchung sehen Sie hier:
|
Frage Welche Diagnose stellen sie aufgrund der vorliegenden Bilder?
|
Mediscope
05.01.2013 - gem