Radiologie Quiz 48
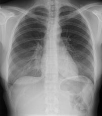
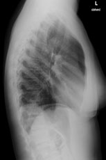
Eine 36-jährige Patientin kommt zu Ihnen in die Praxis. Sie berichtet über einen grippalen, fieberhaften Infekt, seit einer Woche bestehend.
In der Lungenauskultation sind Rasselgeräusche beidseits basal zu hören. Bei einem CRP von 160 mg/l veranlassen Sie ein Thoraxröntgen mit der Frage nach Infiltrat.
Hier sehen Sie die Bilder:
|
Frage 1
Wie lautet Ihre Diagnose?
|
Mediscope
06.03.2012 - gem