Leaderboard

Sie sind hier: Fortbildung » Radiologie-Quiz 13. Januar 2026
Suchen
tellmed.ch
Radiologie-Quiz
Erweiterte Suche
Fachliteratur
Fortbildung
Radiologie-Quiz
Röntgenfall des Monats
EKG-Quiz
Labor-Quiz
Kongresse/Tagungen
Tools
Humor
Kolumne
Presse
Gesundheitsrecht
Links
 

Zum Patientenportal

 
Schrift: Schrift grösser Schrift kleiner Als Email versenden Druckvorschau

 Das Portal für Ärztinnen und Ärzte

Tellmed richtet sich ausschliesslich an Mitglieder medizinischer und pharmazeutischer Berufe. Für Patienten und die Öffentlichkeit steht das Gesundheitsportal www.sprechzimmer.ch zur Verfügung.

 

Rect Top

Radiologie Quiz 46

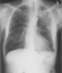
Ihnen wird ein 62-jähriger Patient vorstellig, der seit zwei Wochen subfebrile Temperaturen hat, Husten und leichter Auswurf bestehen ebenfalls. Status nach Zystekomie und Ileum-Pouch sowie Prostatovesikulektomie vor knapp zweieinhalb Jahren bei Plattenepithelkarzinom der Harnblase (pT2 G3).

 

Klinisch zeigt der Patient einen stabilen Allgemeinzustand. Die Lungenauskultation ist unauffällig. Im Labor ist das CRP auf über 160 mg/l erhöht. Das Thoraxröntgen ergibt folgendes pa Bild:

 

Thorax pa

Bild vergrössern

 

 

Frage 1

Wie lautet Ihre Diagnose? (mehrere Antworten möglich)

Mediscope

18.11.2011 - gem

 
Adserver Footer
Rect Bottom
 

Fachportal Gastroenterologie:
Abklärung, Diagnose
Therapie, Prävention

Eisen-Fachportal:
Eisenmangel und Eisenmangelanämie
Sprechzimmer: Patientenratgeber
Sky right 1