Leaderboard

Sie sind hier: Fortbildung » Radiologie-Quiz 13. Januar 2026
Suchen
tellmed.ch
Radiologie-Quiz
Erweiterte Suche
Fachliteratur
Fortbildung
Radiologie-Quiz
Röntgenfall des Monats
EKG-Quiz
Labor-Quiz
Kongresse/Tagungen
Tools
Humor
Kolumne
Presse
Gesundheitsrecht
Links
 

Zum Patientenportal

 
Schrift: Schrift grösser Schrift kleiner Als Email versenden Druckvorschau

 Das Portal für Ärztinnen und Ärzte

Tellmed richtet sich ausschliesslich an Mitglieder medizinischer und pharmazeutischer Berufe. Für Patienten und die Öffentlichkeit steht das Gesundheitsportal www.sprechzimmer.ch zur Verfügung.

 

Rect Top

Radiologie Quiz 45

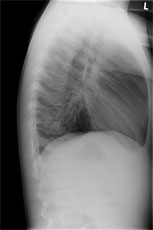
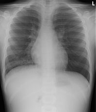
Zur Aufnahme kommt ein 8 jähriger Knabe mit hartnäckigem, vorwiegend trockenem Reizhusten seit 5 Tagen und subfebrilen Temperaturen bis mässigem Fieber.

Bei relativ blander Klinik wird ein Thoraxröntgen durchgeführt: 

 

Thorax pa

Bild vergrössern

Thorax seitlich

Bild vergrössern

 

 

Frage 1

Welcher Befund liegt vor? (mehrere richtige Antworten möglich)

 

Frage 2

Wie lautet Ihre Verdachtsdiagnose? (mehrere richtige Antworten möglich)

Mediscope

01.11.2011 - gem

 
Adserver Footer
Rect Bottom
 

Fachportal Gastroenterologie:
Abklärung, Diagnose
Therapie, Prävention

Eisen-Fachportal:
Eisenmangel und Eisenmangelanämie
Sprechzimmer: Patientenratgeber
Sky right 1