Leaderboard

Sie sind hier: Fortbildung » Radiologie-Quiz 13. Januar 2026
Suchen
tellmed.ch
Radiologie-Quiz
Erweiterte Suche
Fachliteratur
Fortbildung
Radiologie-Quiz
Röntgenfall des Monats
EKG-Quiz
Labor-Quiz
Kongresse/Tagungen
Tools
Humor
Kolumne
Presse
Gesundheitsrecht
Links
 

Zum Patientenportal

 
Schrift: Schrift grösser Schrift kleiner Als Email versenden Druckvorschau

 Das Portal für Ärztinnen und Ärzte

Tellmed richtet sich ausschliesslich an Mitglieder medizinischer und pharmazeutischer Berufe. Für Patienten und die Öffentlichkeit steht das Gesundheitsportal www.sprechzimmer.ch zur Verfügung.

 

Rect Top

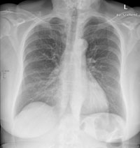
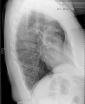
Radiologie Quiz 42

Eine 69-jährige Patientin klagt über einen seit mehr als 4 Wochen anhaltenden Husten mit wenig Auswurf. Die Frage nach Dyspnoe wird verneint. Fieber besteht keines.

Die körperliche Untersuchung ist unergiebig. Der behandelnde Arzt hat aufgrund der Raucheranamnese und des nicht enden wollenden Hustens ein Röntgenbild gemacht:

 

Thorax pa

Bild vergrössern

 Thorax seitlich

Bild vergrössern

 

 

Frage 1

Welche Befunde fallen auf (mehrere richtige Antworten möglich)?

 

 

Frage 2

Wie beurteilen Sie nun das Röntgenbild?

 

Mediscope

11.02.2011 - dde

 
Adserver Footer
Rect Bottom
 

Fachportal Gastroenterologie:
Abklärung, Diagnose
Therapie, Prävention

Eisen-Fachportal:
Eisenmangel und Eisenmangelanämie
Sprechzimmer: Patientenratgeber
Sky right 1