Leaderboard

Sie sind hier: Fortbildung » Radiologie-Quiz 16. März 2026
Suchen
tellmed.ch
Radiologie-Quiz
Erweiterte Suche
Fachliteratur
Fortbildung
Radiologie-Quiz
Röntgenfall des Monats
EKG-Quiz
Labor-Quiz
Kongresse/Tagungen
Tools
Humor
Kolumne
Presse
Gesundheitsrecht
Links
 

Zum Patientenportal

 
Schrift: Schrift grösser Schrift kleiner

 Das Portal für Ärztinnen und Ärzte

Tellmed richtet sich ausschliesslich an Mitglieder medizinischer und pharmazeutischer Berufe. Für Patienten und die Öffentlichkeit steht das Gesundheitsportal www.sprechzimmer.ch zur Verfügung.

 

Rect Top
Richtig

 

 

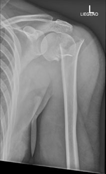
Die Röntgenaufnahme der Schulter in zwei Ebenen ist die Untersuchung der Wahl zur Beurteilung der Knochenstrukturen und der Gelenkstellung.

 

Hier sehen Sie die Aufnahmen im vorliegenden Fall:

 

Schulter ap

Bild vergrössern

 Schulter nach Neer

Bild vergrössern

 

 

Frage 2

Welche Diagnose stellen Sie?

 



 
Adserver Footer
Rect Bottom
 

Fachportal Gastroenterologie:
Abklärung, Diagnose
Therapie, Prävention

Eisen-Fachportal:
Eisenmangel und Eisenmangelanämie
Sprechzimmer: Patientenratgeber
Sky right 1