|
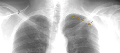
Zu sehen ist eine frische Rippenserienfraktur der 3. bis 5. Rippe links dorsal sowie ein Spitzenpneumothorax links apikal (die Pfeile markieren die Pleura visceralis der zusammengefallenen Lunge).
Beim Spitzenpneumothorax ist nur wenig Luft in den Pleuraraum geflossen. Da diese meist nach oben steigt, sammelt sie sich über der Lunge an. Im Röntgenbild sieht man dann die Luftansammlung über der Lungenspitze, daher der Name "Spitzenpenumothorax". Ein Spitzenpneumothorax wird meistens im Röntgenbild bemerkt und macht wie auch in diesem Fall selten Beschwerden im Sinne einer Dyspnoe. |
 |