Leaderboard

Sie sind hier: Fortbildung » Labor-Quiz 16. März 2026
Suchen
tellmed.ch
Labor-Quiz
Erweiterte Suche
Fachliteratur
Fortbildung
Radiologie-Quiz
Röntgenfall des Monats
EKG-Quiz
Labor-Quiz
Kongresse/Tagungen
Tools
Humor
Kolumne
Presse
Gesundheitsrecht
Links
 

Zum Patientenportal

 
Schrift: Schrift grösser Schrift kleiner Als Email versenden Druckvorschau

 Das Portal für Ärztinnen und Ärzte

Tellmed richtet sich ausschliesslich an Mitglieder medizinischer und pharmazeutischer Berufe. Für Patienten und die Öffentlichkeit steht das Gesundheitsportal www.sprechzimmer.ch zur Verfügung.

 

Rect Top

Labor Quiz 6

Eine 85jährige Patientin mit Diabetes mellitus Typ 2 und Charcot Fuss sowie einer arteriellen Hypertonie findet sich bei Ihnen zur Jahreskontrolle ein.

Sie finden im Labor folgende Blutresultate:

 

- Hb 85 g/l (120-160)

- Hk 26% (38-48)

- Ec 2.7 Mio/µl (3.9-5.5 )

- MCV 97 fl (80-102)

- MCH 32.1 pg (27.0-33.0)

- MCHC 331 g/l (300-360 )

- Retikulozyten 2.5%

- Leukozyten 3.3 G/l (3.0-9.0)

- Thrombozyten 127 G/l (125-320)

 

Frage 1

Wie beurteilen Sie diese Laborresultate?

 

 

Frage 2

Was machen Sie als nächstes?

 

 

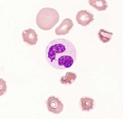
Nun finden Sie im Blutausstrich mehrere Neutrophile folgenden Typs:

 

Blutausstrich

 

Frage 3

Wie beurteilen Sie diesen Neutrophilen?

 

 

Frage 4

Was bedeutet das Vorkommen von hyposegmentierten (pelgeroiden) Neutrophilen im peripheren Blutbild?

 

 

Die Knochenmarks Punktion und Aspiration ergab bei diesem Patienten eine gesteigerte und reifungsgestörte Erythro-, Myelo- und Megakaryopoiese sowie den Nachweis von 10% myeloischen Blasten!).

 

Frage 5

Können Sie jetzt zusammen mit dem peripheren Blutbild eine Diagnose stellen? 

 

 

Frage 6

Welche Aussage im Zusammenhang mit dem myelodysplastischen Syndrom (MDS) ist  falsch? 

 

 

Die vorliegenden Angaben stammen von Dr. med. Andreas Kuske in Bern.

 

Mediscope

29.03.2004 - dde

Mit freundlicher Unterstützung vom Medics Labor

 
Adserver Footer
Rect Bottom
 

Fachportal Gastroenterologie:
Abklärung, Diagnose
Therapie, Prävention

Eisen-Fachportal:
Eisenmangel und Eisenmangelanämie
Sprechzimmer: Patientenratgeber
Sky right 1