Leaderboard

Sie sind hier: Fortbildung » Labor-Quiz 13. Januar 2026
Suchen
tellmed.ch
Labor-Quiz
Erweiterte Suche
Fachliteratur
Fortbildung
Radiologie-Quiz
Röntgenfall des Monats
EKG-Quiz
Labor-Quiz
Kongresse/Tagungen
Tools
Humor
Kolumne
Presse
Gesundheitsrecht
Links
 

Zum Patientenportal

 
Schrift: Schrift grösser Schrift kleiner

 Das Portal für Ärztinnen und Ärzte

Tellmed richtet sich ausschliesslich an Mitglieder medizinischer und pharmazeutischer Berufe. Für Patienten und die Öffentlichkeit steht das Gesundheitsportal www.sprechzimmer.ch zur Verfügung.

 

Rect Top
Richtig

 

 

Das Differentialblutbild kann Ihnen wichtige weitere Hinweise liefern.

 

Hier das Blutbild unserer Patientin:

 

Das Differenzialblutbild ergab bei einer totalen Leukozytenzahl von 4.1 G/l (Referenz 3.0-9.0) folgende Resultate:

  • Stabkernige Neutrophile 22% (3.0-18)
  • Segmentkernige Neutrophile 17.5% (35.0-67.0)
  • Eosinophile 0% (unter 5)
  • Basophile 0% (unter 1.5)
  • Monozyten 7% (1.0-12)
  • Lymphozyten 53.5% (15-46)

 

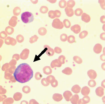
Differenzialblutbild

 

 

Frage 2

Um was handelt es sich bei der mit dem Pfeil gekenntzeichneten Zelle?



 
Adserver Footer
Rect Bottom
 

Fachportal Gastroenterologie:
Abklärung, Diagnose
Therapie, Prävention

Eisen-Fachportal:
Eisenmangel und Eisenmangelanämie
Sprechzimmer: Patientenratgeber
Sky right 1