Partner

Sie sind hier: Fortbildung » Labor-Quiz 16. März 2026
Suchen
tellmed.ch
Labor-Quiz
Erweiterte Suche
Fachliteratur
Fortbildung
Radiologie-Quiz
Röntgenfall des Monats
EKG-Quiz
Labor-Quiz
Kongresse/Tagungen
Tools
Humor
Kolumne
Presse
Gesundheitsrecht
Links
 

Zum Patientenportal

 
Schrift: Schrift grösser Schrift kleiner

 Das Portal für Ärztinnen und Ärzte

Tellmed richtet sich ausschliesslich an Mitglieder medizinischer und pharmazeutischer Berufe. Für Patienten und die Öffentlichkeit steht das Gesundheitsportal www.sprechzimmer.ch zur Verfügung.

 

Rect Top
Richtig

 

 

Dieses Beispiel zeigt einen der seltenen Fälle von Mononukleose, die primär als akute Hepatitis mit Ikterus ohne Pharyngitis, Lymphadenopathie oder andere Symptome imponieren.

 

Es sind IgG und IgM - Antikörper gegen "early antigen" vorhanden bei gleichzeitig (noch) negativen Antikörpern gegen "Epstein-Barr nuclear antigen 1" (EBNA-1). Dies ist typisch für eine kürzlich erworbene EBV-Infektion.

 

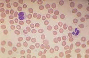
Wichtige Hinweise auf eine infektiöse Mononukleose findet man im Differenzialblutbild in Form der deutlichen Lymphozytose mit den atypischen Lymphozyten. Auch der wenig sensitive "Mononukleose Schnelltest", der seit diesem Jahr nicht mehr zu den kassenpflichtigen Laborleistungen gehört, erlaubt (wenn er positiv ist) bei passender Klinik, jungem Alter des Patienten und einem kompatiblen Blutbild die "kostengünstige" Diagnose einer infektiösen Mononukleose. Im vorliegenden Fall jedoch verzichtete der Hausarzt sowohl auf das Blutbild wie auch auf eine EBV-Serologie, weil die typischen Symptome einer Mononukleose fehlten. Dies führte etwas ins "diagnostische Abseits", was aber für den Patienten – retrospektiv gesehen - kaum von Nachteil war.

 

 

Zur Illustration finden Sie in den folgenden Bildern das typische Bild eines atypischen Lymphozyten im Blut und zwei elektronenmikroskopische Aufnahmen des Epstein Barr Virus.

 

Atypischer Lymphozyt

 

 

EBV im Elektronenmikroskop

 EBV im Elektronenmikroskop



 
Adserver Footer
Rect Bottom
 

Fachportal Gastroenterologie:
Abklärung, Diagnose
Therapie, Prävention

Eisen-Fachportal:
Eisenmangel und Eisenmangelanämie
Sprechzimmer: Patientenratgeber
Sky right 1